
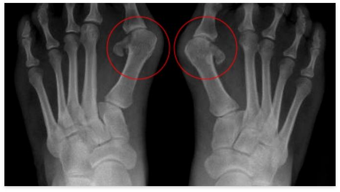
Iatrogenic Hallux Varus
Iatrogenic H. Varus, is a surgeon pitfall, happens when he overcorrects the Hallux Valgus. In this situation, the big toe goes further to outside from a normal angle of 9 degrees, and when you see the foot, the big toe is separated from the other toes. This problem happens, when you underestimate the power of the abductor muscle of the first toe, and when the adductor muscle is anatomized, the big to is retracted to varus by the unopposed abductor muscle. In some cases, the osteotomy is overridden, and the distal part of the osteotomy is lateralized. The surgical solution is to perform a corrective surgery by reverse Scarf operation plus transferring abductor tendon origin to adductor origin. The worst thing a surgeon can do is to perform another Akin osteotomy on the first proximal phalangeal bone because it makes a skew foot deformity or serpentine foot. The other approach is, to use Osteopathic technics, and Orthosis, and to teach the corrective exercises. Osteopathy should reinforce the new attachment of adductor muscle, and release of the abductor. These technics may resolve more than 60% of the surgeon-made deformities. If the deformity is fixed after several years of onset, and painful osteoarthritis or Hallux rigidus appeared, then the surgery will be inevitable, but if the patient doesn’t waste the time, and come in the golden period to an Osteopath, he/she will benefit from Osteopathic technics.

More in Articles

AC Joint Dislocation
AcromioClavicular Joint (AC joint), is one of the immobile joints in the body, although it has minimal movements, it is so little, that can’t be visible. This joint is stabilized by several ligaments, and by direct, or indirect trauma to ...

Discectomy Drawbacks
Discopathy is one of the most common problems that happen to the human body, it’s due to imbalanced pressure over the intervertebral discs. The most common level is L4-L5, which is at the lumbar region. Degeneration and dehydration of the ...

Hip Adductor Muscles Pain
Hip adductor muscles are 3 muscles, which originate from the Ischium bone of the pelvis and insert on the medial aspect of the femoral bone. These muscles are formed by Adductor Magnus, Adductor Brevis, and Adductor Longus. All these muscles ...

Hallux Rigidus & Anterior Shin Splint Syndrome
Hallux Rigidus is a kind of osteoarthritis of the 1st MP joint of the big toe. In this condition 1st, MP joint ROM is limited and painful. Due to ROM limitation, movement of the ankle joint is increased, and it ...

Trigger Finger
Trigger finger is a chronic condition referred to as flexor tendons of the fingers. There are two different flexor tendons for each finger, superficial, and profondous, and the trigger finger affects the profondous tendon. A trigger finger happens, when there ...
arrow_forward_ios